In today's fast-paced world, we often have little time to care about our needs. Many of us struggle to remain consistent with the everyday things we need to stay healthy. We've all seen the meme of a stressed-out woman's face with bulging eyes as she lists off how she's trying to get eight hours of sleep a night, stay present, maintain a fit physique, work 40 hours a week, drink eight glasses of water a day, all while being a great mom, friend, daughter, sister, and partner.
Caring for our teeth and gums is a daily task that seems simple yet is often neglected due to the many other competing priorities. If you are like most people, you are concerned about bad breath, not having a daily flossing habit, getting negative feedback from your dentist or hygienist, stained teeth, and developing signs of gum disease. Does this sound like you? If you answered, "Yes," then keep reading. We have a solution for you: the Oralucent Pro Edition light therapy electric toothbrush. The Oralucent Pro edition is a sonic powered-light therapy toothbrush that combines red and blue light to help reduce gingivitis, kill bacteria, freshen your breath, and whiten your teeth.
Oralucent is a toothbrush that sets itself apart from other toothbrushes because of several innovations wrapped in one. Oralucent uses sonic action in the bristles to remove plaque biofilm. The bristles are soft to massage your gums, and the vibrating action allows them to effectively clean the biofilm from the enamel, between the teeth, and at the gums. The Oralucent toothbrush is versatile in multiple ways. First, you can adjust the sonic speed from 40,000 strokes per minute to manual mode, where you get all the clinical benefits of the light without the vibration. It also holds a charge for several days despite being used twice daily. What sets the Oralucent Pro Edition toothbrush apart is its use of red and blue light therapy to treat oral tissues and teeth during daily brushing.
Red-light therapy is light emitted by light-emitting diodes (LEDs) at frequencies and intensities that are considered safe yet effective. The light is delivered by LEDs, which emit red-light when the toothbrush is powered on. It is powerful enough to be absorbed by the skin but not cause adverse effects. In addition, the Pro Edition is engineered not to deliver ultraviolet light, ensuring the user's safety. Red-light therapy benefits humans because the light penetrates the oral tissues, promoting healing at a cellular level. Healing occurs specifically in the mitochondria (the powerhouse of cells), which respond to the red-light. This response can stimulate several tissue responses, including repair, regrowth, and increased blood flow.1
Red-light therapy is not new to medical treatments; it's been around for over 30 years. NASA scientists have proven LED red-light therapy to promote wound healing.2,3 Now, its cell-renewing powers are used in various advanced medical and cosmetic applications, including skin care, weight loss, dementia, hair loss, pain, and tendon repair.1 With scientists citing all the medical benefits, we can now add one more area that red-light therapy can treat: gum health. Red-light therapy has been shown to reduce gum inflammation, promote healing, reduce tooth sensitivity, and potentially reverse gum recession.4
The Food and Drug Administration approves red-light therapy for medical treatments. Currently, red-light therapy is considered safe for all adults, even pregnant women. While high-powered lasers emitting red laser can be harmful to human eyes and skin, red-light therapy delivered by LED with safety features that moderate light intensity, especially those designed for at-home products, are not strong enough to cause harm or even visual discomfort.1 You might ask yourself, "Why does this matter to me?"
Gum Disease: Gingivitis affects nearly half the population
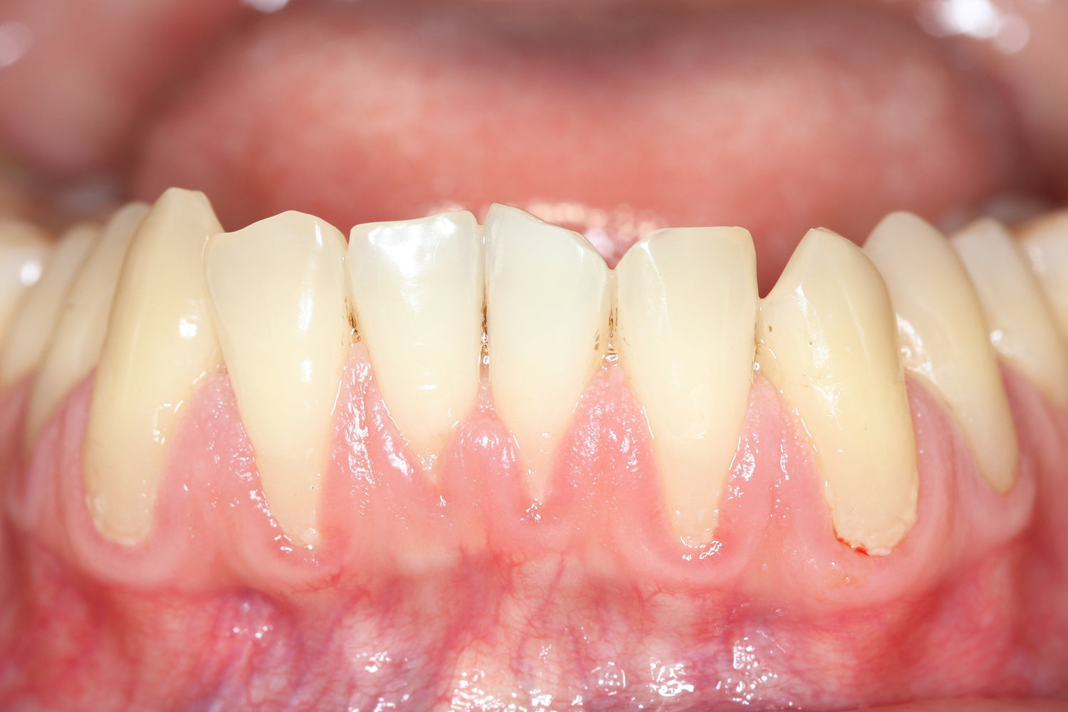
Gum disease affects 47.2% of adults, both men and women, aged 30 and older.5,6 Gum disease is divided into three categories. Gingivitis or generalized inflammation of gums due to an accumulation of bacteria in plaque—a biofilm made up of various bacteria. Gingivitis is the first stage of gum disease and may be controlled by a person's daily oral homecare habits. The symptoms of gingivitis are red, bulbous tissue that may bleed when you brush or floss. Gingivitis sometimes makes the gums feel very tender to the touch or itchy. Gingivitis can also cause malodor or bad breath. If gingivitis is left untreated, it can contribute to receding gums and ultimately progress into periodontal disease, the second two categories.
Gum Disease: Gum Recession affects 38%-90% of people
The second type of gum disease is gum recession. Approximately 38% of people aged 30 to 39 in the U.S. experience receding gums, and this percentage grows with age. By the time individuals reach their 50s, nearly 71% are affected; for people 80 and older, the figure peaks at more than 90%. Receding gums are a pervasive and preventable problem with proper brushing and modern technology.7 Gum recession occurs when the gum tissue pulls away from the area where it previously surrounded the tooth. This can cause the tooth to appear longer as the gums move up or down the root of the tooth. Gum recession is a concern because it can lead to tooth loss due to insufficient tissue support. Tooth loss is a significant challenge in aging and remaining independent because it impacts people's ability to consume nutrient-rich, calorically dense foods.
Mechanical habits such as teeth clenching or aggressive brushing can contribute to gum recession. When the gum tissue recedes, the tooth may appear darker and become sensitive to temperature changes. Gum recession is generally irreversible because gum tissue does not regenerate once it has receded. However, you can take steps to stop the further recession and improve your gum health by improving oral hygiene, professional deep cleaning, surgical treatments, and lifestyle changes. If you want to take additional steps, red-light therapy has been shown to reduce gum inflammation, promote healing, reduce tooth sensitivity, and potentially reverse gum recession.4
Gum Disease: Periodontal Disease affects 1 in 10 people
The third type of gum disease is the most severe and is found in almost 10% of the population. Periodontal disease occurs when gingivitis progresses to the point that homecare can no longer manage it, and the accumulation of bacteria in the mouth is so severe and advanced that they destroy the jaw bones. Periodontal disease shares symptoms with gingivitis but can also cause tooth mobility, sensitivity, and gum shrinkage. A patient can have both gum recession and periodontal disease. Periodontal disease has no cure, and dental professionals must act quickly to help patients manage their disease at home once they stabilize it in the dental office. The average cost of periodontal disease ranges from $1,700-$8,000 because treating periodontal disease requires professional help and multiple visits to the dental office.5-7
Preventing periodontal disease (gum disease) starts with maintaining good oral hygiene, a healthy lifestyle, and regularly visiting the dentist and hygienist. The key preventative measures are:
- Brush twice daily for at least 2 -4 minutes
- Floss daily
- Using mouthwash
- Visit your dentist and hygienist twice per year for checkups and cleanings
- Quit smoking and maintain a nutrient-rich, balanced diet
- Stay hydrated
- Correct misaligned teeth and care for your dental work, such as filling, caps, and crowns.
These preventative steps often stop gum disease before it even starts.
Emerging research on the relationship between oral health and other serious health conditions
Emerging scientific research is revealing a correlation between poor gum health and various other serious health conditions, including heart disease, Alzheimer's, pregnancy complications, and diabetes.8 More than half of the population diagnosed with diabetes has gum disease.8 Science is discovering more correlations between healthy gum tissue and health overall every day. Utilizing low-level red-light therapy to control oral bacteria may be possible to improve oral health; however, the link between oral health and systemic health needs more research.9
Advanced Light Therapy technology available for you today to help fight disease
Knowing that red-light therapy may have many health benefits and that dental professionals often use light to treat periodontal bacteria, whiten teeth, and cure dental work in the office, the Oralucent Pro Edition toothbrush was designed to enable consumers to manage their oral health in their own hands and prevent gum disease at home—all through the simplicity of a twice-daily habit they already have: brushing their teeth!
Red-light therapy, delivered by the Oralucent Pro Edition toothbrush, may support gum healing, reduce inflammation, and slow or stop gum recession, offering a natural, non-invasive solution to common gum problems. The red-light may penetrate the hard-to-reach places of a person's mouth, such as between the teeth and the far back. This is often where the bacteria will collect since it can thrive if left untreated.
Brush your teeth twice a day for 2-4 minutes at a 45-degree angle to the teeth, spend 10-20 seconds per area, repeat for all teeth, clean your tongue, and floss daily, and you will be on your way to whiter teeth and healthier gums. People who combine these basic daily habits with the Oralucent Pro Edition toothbrush can effectively address the early stages of gum disease and begin to help heal the gums in as little as 30 days!
References:
- Pagan, C. N., & Rosenbaum, L. (2024). Red light therapy: What is it? WebMD. Retrieved from https://www.webmd.com/skin-problems-and-treatments/red-light-therapy
- Whelan, H. T., Smits, R. L., Jr, Buchman, E. V., et al. (2001). Effect of NASA light-emitting diode irradiation on wound healing. Journal of clinical laser medicine & surgery, 19(6), 305–314. https://doi.org/10.1089/104454701753342758
- (2022). NASA research illuminates medical uses of light. Retrieved from https://spinoff.nasa.gov/NASA-Research-Illuminates-Medical-Uses-of-Light
- Froum, S. (2023). Red light therapy: A comprehensive overview for dental professionals. Perio Implant Advisory. Retrieved from https://www.perioimplantadvisory.com/clinical-tips/article/14296197/red-light-therapy-a-comprehensive-overview-for-dental-professionals
- National Institute of Dental and Craniofacial Research. (2024). Periodontal (Gum) Disease. Retrieved from https://www.nidcr.nih.gov/health-info/gum-disease#causes
- National Institute of Health-Medline Magazine. Gum Disease: By the Numbers. Retrieved from https://magazine.medlineplus.gov/article/gum-disease-by-the-numbers
- National Institute of Dental and Craniofacial Research. (2021). Periodontal Disease in Adults (Age 30 and Over). Retrieved from https://www.nidcr.nih.gov/research/data-statistics/periodontal-disease/adults
- Kane, S.F. (2017). The effects of oral health on systemic health. Academy of General Dentistry. Retrieved from https://www.agd.org/docs/default-source/self-instruction-(gendent)/gendent_nd17_aafp_kane.pdf
- Crispino, A., Figliuzzi, M. M., Iovane, C., et al. (2015). Effectiveness of a diode laser in addition to non-surgical periodontal therapy: study of intervention. Annali di stomatologia, 6(1), 15–20. Retrieved from https://pubmed.ncbi.nlm.nih.gov/26161248/


